Mordida Cruzada Antes E Depois. WebMordida cruzada antes e depois. A mordida cruzada antes e depois trás diferenças do sorriso e da face aos primeiros quase imediatos após a cirurgia. A. WebAntes Depois Exclusivamente para fins de demonstração. O que é uma mordida cruzada? Que tipo de problemas pode causar a mordida cruzada? Os alinhadores transparentes..
WebA mordida cruzada anterior é quando os dentes superiores são posicionados atrás dos dentes inferiores. É também conhecida como a mordida invertida e deve-se à má. WebA mordida cruzada, também chamada de “boca torta” é um dos principais problemas de má oclusão entre os arcos dentários. Além de comprometer de forma. WebAusência do Dente Incisivo Lateral. Conhecido cientificamente como "Agenesia", a ausência de dentes na arcada dentária é muito comum, acometendo cerca de até 15%. WebMordida Cruzada: uma preocupação além da estética. A mordida cruzada pode causar inúmeros problemas de saúde, incluindo dificuldades na respiração, mastigação,.
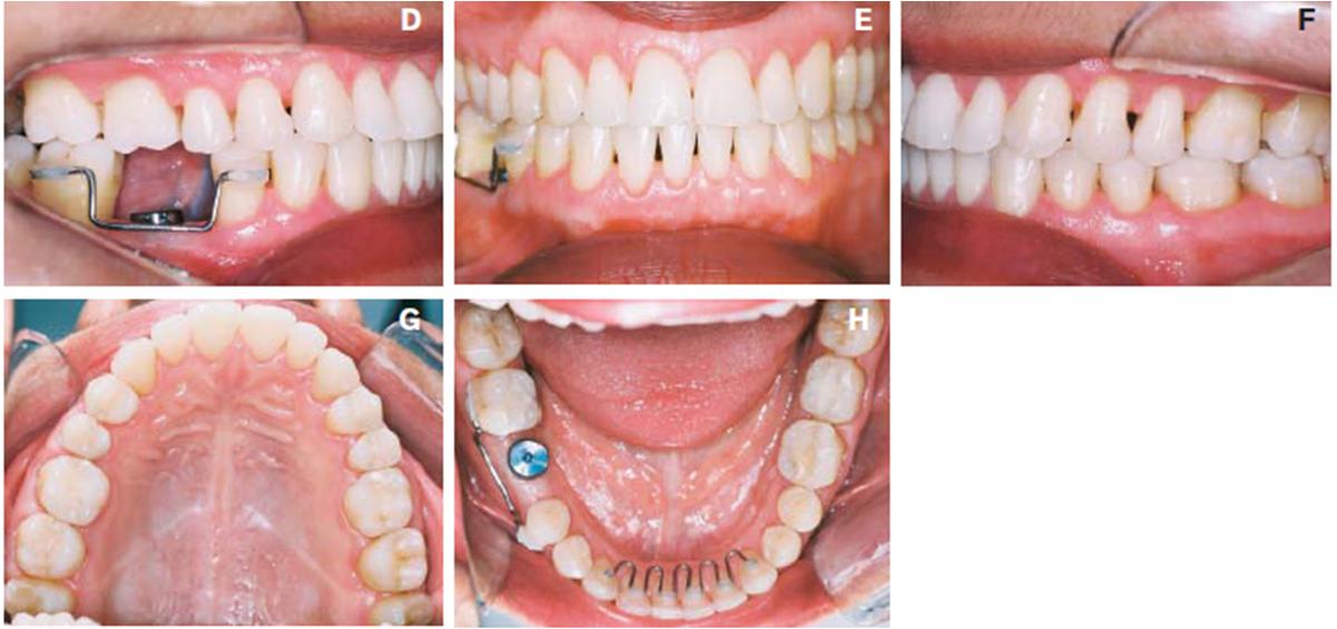
Mordida cruzada antes e depois: conheça seu tratamento – DentalVidas
WebAusência do Dente Incisivo Lateral. Conhecido cientificamente como "Agenesia", a ausência de dentes na arcada dentária é muito comum, acometendo cerca de até 15%. WebMordida Cruzada: uma preocupação além da estética. A mordida cruzada pode causar inúmeros problemas de saúde, incluindo dificuldades na respiração, mastigação,. WebA mordida cruzada geralmente surge logo durante a infância, mas não desaparece sozinha, sendo necessário fazer o tratamento com uso de aparelho, cirurgia, ou remoção de. Webmordida cruzada lateral: ocorre quando o desalinhamento é percebido apenas em um lado da boca, normalmente o da mastigação. A importância de tratar a questão ainda na. WebA mordida cruzada é uma má oclusão, ou seja, uma espécie de alinhamento anormal dos dentes, refletido diretamente na mordida, em que os dentes superiores e inferiores não. WebA mordida cruzada é um tipo de anomalia caracterizada por um deslocamento da mandíbula inferior em relação à parte superior no plano horizontal. Na presença dessa. WebMordida distal (prognática) é uma das anomalias dentofaciais mais comuns, que podem ser observadas na presença de dentes decíduos e na troca permanente deles. A presença. WebO antes e depois do invisalign podem ser surpreendentes. São várias as pessoas que dão preferência para esse tratamento, não só as pessoas que são mais. WebHá muita controvérsia e muita discussão entre os dentistas sobre a influência da mordida cruzada na disfunção da articulação tempomandibular (DTM / ATM) pois os estudos.



