Dente Nascendo Atras Do Outro. WebO dente permanente normalmente nasce numa posição bem longe da correta. A extração do dente de leite será necessária, assim como o aparelho ortodôntico para colocar o..
WebOs sintomas da dentição costumam ser desagradáveis para os pequenos. Se você é pai ou mãe de primeira viagem, pode até dar aquela preocupação sobre como o (a) seu. WebQuando o dente permanente nasce atrás do dente de leite Sarah está com 5 anos, quase fazendo 6 e super ansiosa para cair seu primeiro dentinho de leite, porém ele ficou só. WebUm dos que mais tem sido recorrentes e que choca muitas pessoas, é quando o dente de leite ainda não caiu e se mantém firme na boca, porém um pouco mais atrás já inicia o. WebDente permanente nascendo atrás do dente de leite. Quando as crianças estão entre os cinco e os doze anos de idade, elas passam pelo processo de mudança da dentição.. WebOs primeiros dentes do bebê costumam surgir no primeiro ano de vida e, até completar 3 anos de idade, a criança já deve estar com a dentição completa. Na faixa de. Web0:00 / 5:40 Dente permanente nascendo antes do dente de leite cair? 30,992 views Jul 3, 2020 1.4K Dislike Share Dra Letícia Ramadan Essa situação já aconteceu contigo? Cada.
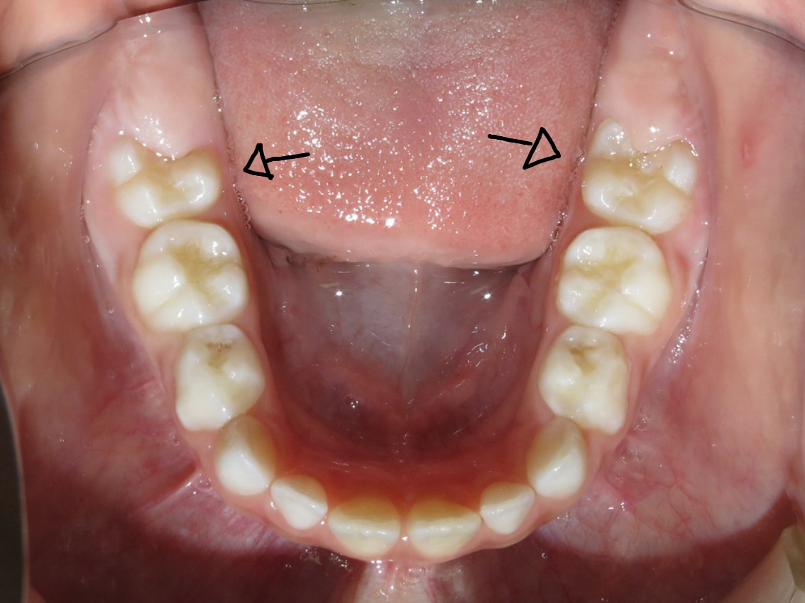
Odontologando: Dentes permanentes nascendo atrás dos dentes de leite. É
WebDente permanente nascendo atrás do dente de leite. Quando as crianças estão entre os cinco e os doze anos de idade, elas passam pelo processo de mudança da dentição.. WebOs primeiros dentes do bebê costumam surgir no primeiro ano de vida e, até completar 3 anos de idade, a criança já deve estar com a dentição completa. Na faixa de. Web0:00 / 5:40 Dente permanente nascendo antes do dente de leite cair? 30,992 views Jul 3, 2020 1.4K Dislike Share Dra Letícia Ramadan Essa situação já aconteceu contigo? Cada. Webmarço 2021 A hiperdontia é uma condição rara na qual surgem dentes extra na boca, podendo acontecer na infância, quando surgem os primeiros dentes, ou durante a. WebTAGS: DENTES NASCENDO POR TRÁS, DENTES QUE NASCEM ATRÁS. Uma causa comum no consultório de Odontologia Pediátrica é o nascimento dos dentes. WebTenho 23 anos e notei que está nascendo um novo dente abaixo do ultimo siso do lado direito da minha. 5 respostas. Tenho 23 anos e notei que está nascendo um. WebSonhando sonhar com dente caindo e nascendo outro no lugar pode significar uma significativa positiva ou negativa para sua vida. Dependendo de onde você ver o seu. WebO colar mordedor é do tipo 2 em 1: ajuda a compor o visual da mãe e serve para o bebê coçar as gengivas e aliviar a dor quando o dente está nascendo (serão muitos meses.
